Skip to main content

Biopsie mammaire

Lorsque l'imagerie a besoin de l'analyse pour aller plus loin...

Comment ça marche

Après réalisation des clichés de mammographie et du complément échographique, le radiologue peut avoir besoin de faire analyser une zone suspecte, afin d'affirmer ou d'infirmer la présence d'une lésion tumorale.

C'est à ce moment là qu'une biopsie mammaire est indiquée.

la
mammographie

La tomosynthèse , c'est quoi ?

Quelques explications sur le déroulement

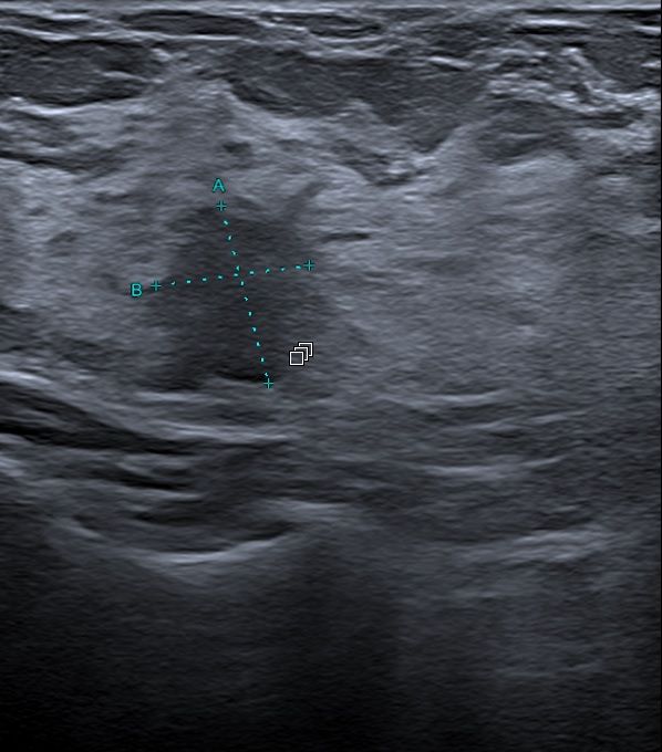
L'échographie sera l'allié idéal du radiologue dans cette opération, afin de suivre facilement l'avancée de l'aiguille et s'assurer du prélèvement sur la bonne zone de la glande mammaire.

  • Il s’agit d’un prélèvement d’un fragment tissulaire réalisé sous anesthésie locale avec une aiguille pour l’analyse histologique

  • Le guidage de l’aiguille suivi sur écran se fera sous échographie en position allongée

  • une parfaite immobilité de votre part sera demandée pour garantir la précision millimétrique du ou des prélèvements

  • Vous ne sentirez rien et entendrez simplement un déclic dû au déplacement de l’aiguille dans le boitier

  • Si le résultat est suffisant, ce geste peut permettre de mieux planifier une éventuelle intervention
    chirurgicale si nécessaire

En bref



Pour Prévoir votre examen

pour accéder a vos résultats